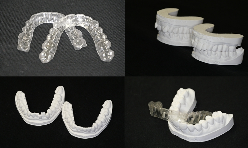
Was sind Aligner?
Aligner sind durchsichtige, herausnehmbare Zahnschienen, die zur kieferorthopädischen Behandlung verwendet werden. Sie dienen der Korrektur von Zahnfehlstellungen, ähnlich wie eine feste Zahnspange – jedoch deutlich unauffälliger.
Wie funktionieren Aligner?
- Die Behandlung erfolgt in Schritten mit mehreren individuell angefertigten Schienen.
- Jede Schiene bewegt die Zähne minimal weiter in Richtung der gewünschten Endposition.
- Tragezeit: ca. 22 Stunden pro Tag, für jeweils 2 Wochen pro Schiene.
- Dauer der gesamten Behandlung: abhänig von der Fehlstellung, meist 6 bis 8 Monate.
Vorteile von Alignern:
Unsichtbar – fast nicht zu sehen
Herausnehmbar – z. B. zum Essen oder Zähneputzen
Angenehmer zu tragen als klassische Zahnspangen
Digitale Planung – präzise, computergestützte Vorhersage des Ergebnisses
Nachteile bzw. Herausforderungen:
Disziplin nötig – nur wirksam bei konsequenter Tragezeit
Nicht für alle Zahnstellungen geeignet
Kosten – fast immer privat zu zahlen
Für wen sind Aligner geeignet?
Leichte bis mittelschwere Zahnfehlstellungen: z. B. Engstand, Lücken, Zahndrehungen
Jugendliche und Erwachsene
Personen, die eine diskrete Zahnkorrektur bevorzugen
